

右上4番瘻孔を伴う歯髄壊死症例。瘻孔部分にガッタパーチャポイントを挿入している。

支台築造前の接着処理終了時。遠心の歯質が喪失しており、側方ガイド歯のため遠心壁側にファイバーを設置することを予定した。

アンジェラスホワイトポスト1.1mmを設置。歯質保存のためにポストスペースは形成していない。

支台築造終了時。コア部分には別のコアマテリアルを使用している。

ラバーダム除去後。後日支台歯形成を行い、暫間冠を作製予定。

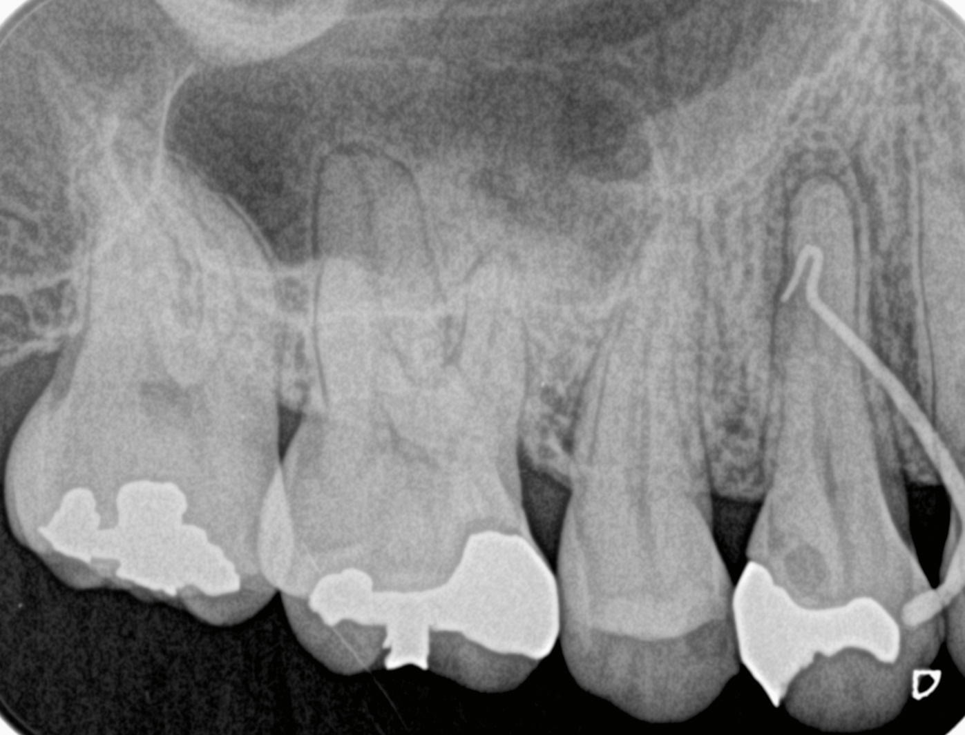
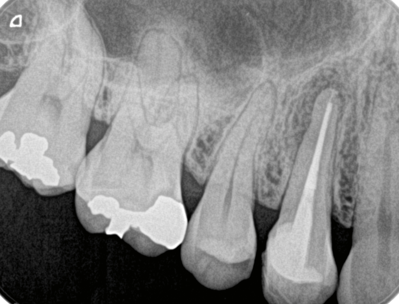
根管充填、支台築造終了時。グラスファイバーはアンジェラスホワイトポスト1.1mmとホワイトピンを使用した。